އެންމެ ކުޑައިރުން ފެށިގެން 38 އަހަރު ވަންދެން އެއް ހުވަފެނެއްގައި ހިފައިގެން ދެމޭނީ މަަދު ބަޔަކަށެވެ. މާލެއަށް އުފަން، ޑރ. މަރިޔަމް އިފާ އަބްދުލްގަފޫރަކީ އެ މަދު މީސްކޮޅުންގެ ތެރެއިން އެކަކެވެ. އަބަދުވެސް ޑޮކްޓަރަކަށް ވުމުގެ ވަރުގަދަ އަޒުމުގައި ހުރި އިފާއަކީ ރާއްޖޭގައި މިހާރު ހުރި ހަމައެކަނި ކޮންޒަވޭޓިވް ޑެންޓިސްޓްރީ އާއި އެންޑޮޑޮންޓިކްސް ކޮންސަލްޓަންޓެވެ.

އެ ދާއިރާއިން ހާއްސަވުމަށް ނޭޕާލުން ކިޔަވައިގެން އައިސް މިދިޔަ ފެބްރުއަރީ މަހުގެ ތެރޭގައި އައިޖީއެމްއެޗުގެ ޑެންޓަލް ޑިޕާޓްމަންޓާ ގުޅުމާ އެކު ޑރ. އިފާ ވެގެން ދިޔައީ އެ ދާއިރާއިން ކިޔެވި ފުރަތަމަ ދިވެހި ޑޮކްޓަރަށެވެ. އޭނާ އަކީ، ދަތުގައި ފުޓުނި އެޅުވުމާއި ދަތުގެ ކުލަ އަލިކުރުމުން ފެށިގެން ދަތުގެ މަދުގެ ހުރިހާ މައްސަަލައެއްގެ ހާއްސަ ޑޮކްޓަރެވެ.

ޑރ. އިފާ އާއިލާގެ މެމްބަރުންނާ އެކު.
ޑރ. އިފާ އާއިލާގެ މެމްބަރުންނާ އެކު.

"[ދަތުގެ] ދެބައެއް މި އިންނަނީ. ކޮންޒަވޭޓިވް ޑެންޓިސްޓްރީއަކީ ކުދިކުދި ފުޓުނި އެއްޗެހި އެޅުމާއި ދަތުގެ ގެޕްތައް ފިލްކުރުމާއި ކުލަ ބަދަލުވެފައި ހުންނަ ދަތްތަކުގެ ކުލަ އަލިކުރުމުގެ ކަންކަން. އެންޑޮޑޮންޓިސްޓަކީ ދަތުގެ މަދުގެ ހާއްސަ ފީލްޑެއް. އޭގައި އަޅުގަނޑުމެން ޓްރީޓްކުރާނީ ދަތުގެ މަދު ސަލާމަތްކުރުމަށް. ދަތުގެ މަދު ސަލާމަތް ނުވާވަރު ވެއްޖެއްޔާ ރޫޓް ކެނަލް ހަދަނީ،" ކިޑްނީގެ ހާއްސަ ޑޮކްޓަރު އިބްރާހިމް ޝިހާމްގެ އަނބިކަނބަލުން ވިދާޅުވި އެވެ.

އައިޖީއެމްއެޗުގައި އޮތް އިވެންޓެއްގައި ޑރ. އިފާ، ފިރިކަލުން އަދި ކިޑްނީ ޑޮކްޓަރު، އިބްރާހިމް ޝިހާމް އާއި ޝިހާމްގެ ބައްޕަ އެކުގައި ފޮޓޯއަކަށް ހުއްޓިލައިގެން.
އައިޖީއެމްއެޗުގައި އޮތް އިވެންޓެއްގައި ޑރ. އިފާ، ފިރިކަލުން އަދި ކިޑްނީ ޑޮކްޓަރު، އިބްރާހިމް ޝިހާމް އާއި ޝިހާމްގެ ބައްޕަ އެކުގައި ފޮޓޯއަކަށް ހުއްޓިލައިގެން.

ސްކޫލު ނިންމާލައްވައި، އެންމެ ފުރަތަމަ ކްލިނިކަލް އެސިސްޓެންޓެއްގެ ގޮތުގައި ހަމަ އެ ހޮސްޕިޓަލާ ގުޅިވަޑައިގަތް އިރު އޭނާ މަސައްކަތްކުރައްވަމުން ގެންދެވީ މެޑިކަލް ޑިޕާޓްމަންޓުގަ އެވެ. ފަސް އަހަރު ވަންދެން ކްލިނިކަލް އެސިސްޓެންޓެއްގެ ގޮތުގައި އުޅުއްވަނިކޮށް ކުއްލިއަކަށް ހިޔާލު ބަދަލުވީ އެވެ. ފުރުސަތެއް ލިބުނު ދަނޑިވަޅުގައި އެ ދާއިރާއިން ކުރިއަށް ވަޑައިގަންނަވަން ނިންމެވިއިރު ވެސް ރާއްޖޭގައި އެ ދާއިރާއިން ހާއްސަ ދިވެއްސަކު ނެތްކަން އެނގިވަޑައިގަތެވެ.

"ކޮވިޑް ފެތުރޭތީ ބައްޕަމެން ބަލިވީމަ މިކޮޅަށް ފޮނުވީ [މާލެ] އަށް. އޭގެ ފަހުން ދަރިފުޅު ގޮވައިގެން ހަމަ އެކަނި އުޅުނީ. އެއީ ވަރަށް އުނދަގޫވި ދުވަސްކޮޅެއް. ހޮސްޕިޓަލުގައި ވެސް ވަރަށް ގިނައިރު އުޅެން ޖެހުނު"

"މި ދާއިރާއިން ހާއްސަ ވާން ދިޔައިރު އަޅުގަނޑުގެ ހުރޭ އެއް އަހަރުގެ ކުއްޖެއް. އެއީ ވަރަށް ދަތިވި ދުވަސްވަރެއް. އަޅުގަނޑުގެ މަންމަ އާއި ބައްޕަ ފުރަތަމަ ހުރި އަޅުގަނޑު ކައިރީ [ނޭޕާލް] ގައި. އެކަމަކު ކޮވިޑް ފެތުރޭތީ ބައްޕަމެން ބަލިވީމަ މިކޮޅަށް ފޮނުވީ [މާލެ] އަށް. އޭގެ ފަހުން ދަރިފުޅު ގޮވައިގެން ހަމަ އެކަނި އުޅުނީ. އެއީ ވަރަށް އުނދަގޫވި ދުވަސްކޮޅެއް. ހޮސްޕިޓަލުގައި ވެސް ވަރަށް ގިނައިރު އުޅެން ޖެހުނު،" ދަރިފުޅު ގޮވައިގެން ހޭދަކުރެއްވި ގޮތް، އިފާ ކުރުކޮށް ވިދާޅުވި އެވެ.

އިފާ: މިއީ ރާއްޖޭގެ ފުރަތަމަ ދިވެހި ކޮންޒަވޭޓިވް ޑެންޓިސްޓްރީ އާއި އެންޑޮޑޮންޓިކްސް ކޮންސަލްޓަންޓް.
އިފާ: މިއީ ރާއްޖޭގެ ފުރަތަމަ ދިވެހި ކޮންޒަވޭޓިވް ޑެންޓިސްޓްރީ އާއި އެންޑޮޑޮންޓިކްސް ކޮންސަލްޓަންޓް.

"ކޮންޒަވޭޓިވް ޑެންޓިސްޓްރީ އާއި އެންޑޮޑޮންޓިކްސް ކޮންސަލްޓަންޓް އަކަށްވުމަށް ވަރަށް ބޮޑު ސެކްރިފައިސެއް ކުރީ. އާއިލާ އާއި ފިރިމީހާގެ އެހީތެރިކަން ނުލިބުނު ނަމަ މި ހިސާބަށް ނާދެވުނީސް. އަދި އަޅުގަނޑު ބެޗުލާސް އަށް ކިޔަވަން އައިޖީއެމްއެޗްގެ ފިޒިޝަންއަކަށް އުޅުއްވި އަޅުގަނޑުގެ ބޮޑުބޭބެ ޑރ. ހަމީދުގެ ވަރަށް ބޮޑު އެހީތެރިކަމެއް ވެސް ލިބުނު."

ދަތުގެ ފަރުވާއަށް ރާއްޖެ ހޭލުންތެރިއެއް ނޫން

ރާއްޖޭގެ ސިއްހީ ދާއިރާ ކުރިއަރާފައި އޮތަސް ދަތުގެ ފަރުވާގެ ނިޒާމު ރާއްޖެ އޮތީ އަދިވެސް ތަންކޮޅެއް ފަހަތުގަ އެވެ. ބޭނުންވާ ޓެކްނޮލޮޖީ އާއި މެޝިންތައް ނެތުމުގެ ސަބަބުން އެންމެ ޒަމާނީ ފެންވަރުގެ ހިދުމަތްތައް ނުދެވެ އެވެ. ދަތުގެ ފަރުވާ ދިނުމުގައި ރާއްޖޭގައި އޮތް އެންމެ ބޮޑު ގޮންޖެހުމަކީ ކޮބައިތޯ ސުވާލުކުރުމުން އިފާގެ ޖަވާބަކީ މި އެވެ:

"މެޓީރިއަލް ލިބުމުގެ ދަތިކަން."

އޭނާ ވިދާޅުވީ ދަތުގެ ފަރުވާ ދިނުމުގައި ވަރަށް ބައިވަރު އިންސްޓްރޫމަންޓް ބޭނުންވާ ކަމަށެވެ. މިސާލަކަށް ފިލިން ހެދުމުގައި އެކި ވައްތަރުގެ މެޓީރިއަލްތައް ބޭނުންކުރަން ޖެހުނަސް ދުވަހުން ދުވަހަށް އެ މެޓީރިއަލެއް ލިބުމުގެ ދަތިކަން އެބަ އޮތް ކަމަށް އޭނާ ވިދާޅުވި އެވެ.

ޑރ، އިފާއާ އެކު އޭނާގެ ޕްރޮފެސާ ޑރ. ރީމާ ޖޯޝީ.
ޑރ، އިފާއާ އެކު އޭނާގެ ޕްރޮފެސާ ޑރ. ރީމާ ޖޯޝީ.

ރާއްޖެއިން ދަތުގެ ފަރުވާ އަށް ބޭނުންވާ ސާމާނު ދުވަހުން ދުވަހަށް ނުލިބޭތީ ރާއްޖެއިން ބޭރަށް އޯޑަރު ދީގެން އެ ސާމާނު ގެންނަން ވަގުތު ނަގަ އެވެ. އެހެންވެ އެންމެ ބޭނުންވާ ގޮތަށް ޕޭޝަންޓުންނަށް ފަރުވާ ނުދެވުމުގެ ކަންބޮޑުވުން އިފާ ފާހަގަކުރެއްވި އެވެ. އެހެންވިޔަސް އައިޖީއެމްއެޗްގެ ޑެންޓަލް ޑިޕާޓްމަންޓުގައި ދަތުގެ ފަރުވާއަށް ބޭނުންވާ މެޝިނަރީސް އާއި ޓެކްނޮލޮޖީ ފުދޭވަރަކަށް އެބަހުރި ކަމަށް އޭނާ ވިދާޅުވި އެވެ.

"މިސާލަކަށް ފާމަސީތަކުން ބޭނުންވީމަ ބޭސް އެއްޗެހި އެބަ ލިބޭތާ. އެކަމަކު ޑެންޓަލް ސާމާނު އެހާ ފަސޭހައިން ލިބޭނެ ގޮތެއް އަދި ނެތް. އެހެންވެ ދޭން ބޭނުންވާ ގޮތަށް އަސްލު ފަރުވާއެއް ވެސް ނުދެވޭ،" އިފާ ވިދާޅުވި އެވެ.

ދެން އޮތް އެންމެ ބޮޑު ޗެލެންޖަކަށްވީ ކޮންމެ ޕޭޝަންޓެކެވެ.

ޑރ. އިފާ ނޭޕާލުގައި ކިޔަވަން އުޅުނުއިރު މަސައްކަތްކުރި ހޮސްޕިޓަލުގެ ޑިޕާޓްމަންޓް އޮފް ކޮންސަވޭޓީވް ޑެންޓިސްޓްރީ އެންޑް އެންޑޮޑޮންޓިސްޓިކްސްގެ ޓީޗަރުންނާއި އެކުގައި މަސައްކަތްކުރި މީހުންނާ އެކު.
ޑރ. އިފާ ނޭޕާލުގައި ކިޔަވަން އުޅުނުއިރު މަސައްކަތްކުރި ހޮސްޕިޓަލުގެ ޑިޕާޓްމަންޓް އޮފް ކޮންސަވޭޓީވް ޑެންޓިސްޓްރީ އެންޑް އެންޑޮޑޮންޓިސްޓިކްސްގެ ޓީޗަރުންނާއި އެކުގައި މަސައްކަތްކުރި މީހުންނާ އެކު.

"އަޅުގަނޑުމެން ކިޔަވާއިރު މިވެނި ދަތެއްގައި މިވެނި ވަރަކަށޭ މަދު ހުންނާނީ އެކަހަލަ ގޮތަކަށް މި ކިޔަވަނީ. އެކަމަކު ވަރަށް ގިނަ ފަހަރަށް ކޮންމެ ޕޭޝަންޓެއްގެ ވެސް ވަރަށް ގިނަ ތަފާތުތައް ހުރޭ،" އޭނާ ވިދާޅުވި އެވެ.

ދަތް ފަނި ކެއުމާއި ރެނދުލުމުގެ މައްސަލަ ބޮޑު

ދަތުގެ މައްސަލަތައް ރާއްޖޭގައި ވަރަށް ބޮޑު ކަމަށާއި އެންމެ ބޮޑީ ފަނި ކެއުމުގެ މައްސަލަ ކަމަށް އިފާ ވިދާޅުވި އެވެ. ވަކިން ހާއްސަކޮށް އުމުރުން އެންމެ ތިން ވަރަކަށް އަހަރުގެ ކުދިންގެ ވެސް ވަރަށް ބޮޑަށް ދަތް ފަނި ކެއުމުގެ މައްސަލަ ފާހަގަކުރެވޭ ކަމަށް އޭނާ ވިދާޅުވި އެވެ.

ދަތުގައި ރެނދުލުމާއި ބިންދައިގެން ދިއުމުގެ މައްސަލަތައް ވެސް ދިވެހިންގެ ތެރޭގައި ވަރަށް ބޮޑު ކަމަށް އިފާ ވިދާޅުވި އެވެ. އެއާ ވިދިގެން އޭނާ ވިދާޅުވީ ދިވެހިންނަކީ ވަރަށް ގަދަޔަށް ދުފާ ބަޔަކަށްވާތީ ދަތްތަކުގައި ރެނދުލުމުގެ މައްސަލަ ބޮޑީ ކަމަަށެވެ.

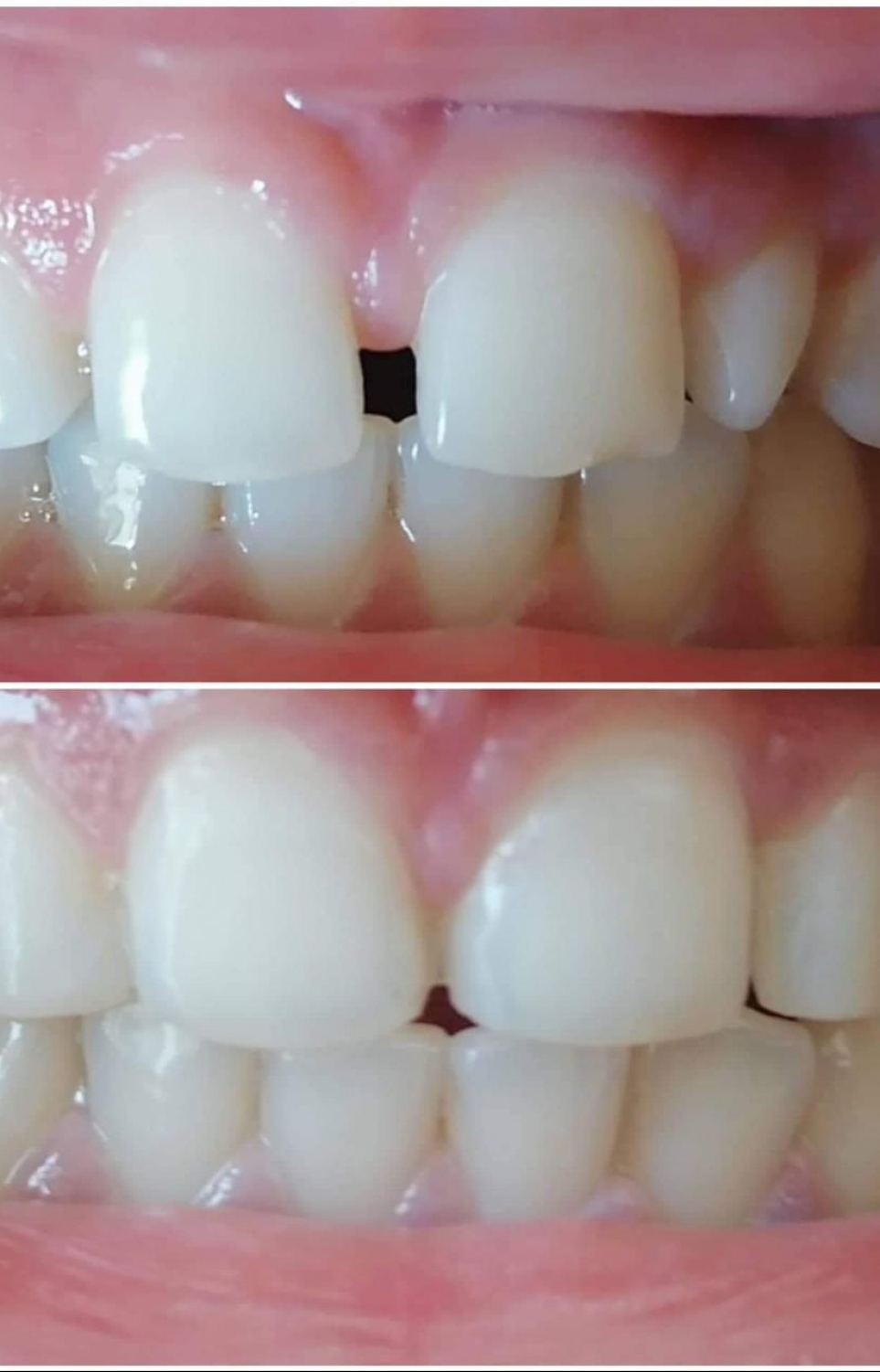
އިފާ، ދަރުވާކޮށް ދުރުކޮށް ހުރި ދެ ދަތް ކައިރިކޮށްފައި.
އިފާ، ދަރުވާކޮށް ދުރުކޮށް ހުރި ދެ ދަތް ކައިރިކޮށްފައި.

"ދިވެހިންނަކީ ވަރަށް ގަދަޔަށް ދުފާ ބައެެއް. ވަރަށް ގިނަ އަހަރު ވަންދެން އެބަ ދުފާ. އެހެންވެ ވަރަށް ގިނަ ޕޭޝަންޓުންގެ ވަރަށް ގިނަ ދަތްތައް ހުންނާނީ ރެނދުލާފައި. އެކަމާ ގުޅިގެން ރެނދުލައިގެން މަދާ ހަމައަށް ގޮސްގެން ވެސް ރޫޓް ކެނަލް ހަދަންޖެހޭ ވަރަށް ގިނަ ޕޭޝަންޓުން އެބަ ތިބި،" އޭނާ ވިދާޅުވި އެވެ.

ދަތުގެ މައްސަލަތައް ރާއްޖޭގައި އިތުރަސް އެކަމާ މެދު ހޭލުންތެރިވެފައިވާ މިންވަރު ވެސް އޮތީ އެހާ ކަންބޮޑުވާ ހިސާބެއްގަ އެވެ. ދަތުގައި ރިއްސައިގަނެގެން ކެތްނުވާ ހިސާބަށް ނުދާ ނަމަ ދަތުގެ ހާލަތެއް ބަލަން ވެސް ބޭނުން ނުވަނީ އެވެ.

ޑރ. އިފާ، މީހަކަށް ދަތުގެ ފަރުވާދެނީ.
ޑރ. އިފާ، މީހަކަށް ދަތުގެ ފަރުވާދެނީ.

"ދަތުގައި ރިއްސައިގަނެގެން ދެން ކެތްނުވާވަރުވީމަ ގިނަ މީހުން މި އަންނަނީ ޑޮކްޓަރަށް ދައްކާލަން ވެސް. އެކަމަކު ރެގިއުލާކޮށް ޗެކަޕްސް ހެދީމަ ވަރަށް ކުދިކުދި ކަންކަން ފެންނާނެ. ވަރަށް ކުޑަކޮށް ފަނި ކައިފައި ހުރީމަ ދުވަހުން ދުވަހަށް ފުޓުނި އަޅާލީމަ ރަނގަޅުވާނެ. އެކަަމަކު މާލަސްކުރީމަ ފަރުވާ ދިގުވަނީ،" އޭނާ ވިދާޅުވި އެވެ.

"ޑެންޓަލް ކަންކަން އާންމުކޮށް ޗެކަޕް ހެދީމަ ނޫނީ ނުފެންނާނެ."

ދެން އޮތީ ބުއްފުޅި ދިނުމުގެ ސަބަބުން ކުޑަކުދިންގެ ދަތްތައް ހަޑިވާ ކަމަށް ދެކެވޭ ވާހަކަ އެެވެ. އެކަމަކު އިފާ ވިދާޅުވި ގޮތުގައި ބުއްފުޅި ދިނުމަކީ ކުއްޖާގެ ދަތްތައް ހަޑިވާނެ ސަބަބެއް ނޫނެވެ.

"ބުއްފުޅި ދެވޭނެ. އެކަމަކު ތިން އަހަރުވާން ވާއިރަށް ޖެހޭނެ ހުއްޓާލަން. ތިން އަހަރުގައި އަނގަމަތީގެ ކަށިގަނޑު ޑިވެލޮޕްމަންޓާ އެއްޗެހި އަންނާނެ. އެހެން ބުއްފުޅި ދެންޏާ ދަތްތައް ބޭރަށް ޖެހިދާނެ. އޭގައި ރަނގަޅީ ފީޑްކުރުން. އެކަމަކު ނުކުރެވެންޏާ ބުއްފުޅި ދިނުން."

"ބުއްފުޅި ދެވޭނެ. އެކަމަކު ތިން އަހަރުވާން ވާއިރަށް ޖެހޭނެ ހުއްޓާލަން. ތިން އަހަރުގައި އަނގަމަތީގެ ކަށިގަނޑު ޑިވެލޮޕްމަންޓާ އެއްޗެހި އަންނާނެ. އެހެން ބުއްފުޅި ދެންޏާ ދަތްތައް ބޭރަށް ޖެހިދާނެ. އޭގައި ރަނގަޅީ ފީޑްކުރުން. އެކަމަކު ނުކުރެވެންޏާ ބުއްފުޅި ދިނުން."

ތިން އަހަރުވުމުގެ ކުރިން ކުޑަކުދިންނަށް ބުއްފުޅި ދިނަސް އޭގައި މައްސަލައެއް ދިމާނުވާނެ ކަމަށެވެ. އެކަމަކު ރޭގަނޑު ބުއްފުޅިދީގެން އޮއްވާ ނިދިއްޖެ ނަމަ، އޭގެ ސަބަބުން ނުރައްކަލެއް އޮވެ އެވެ.

"ކޮންމެވެސް ވަރަކަށް މިލްކް އަނގައިގައި ހުއްޓާ ނިދިއްޖެއްޔާ ވާގޮތަކީ ތިރީ ދަތްތައް ދޫ އިންނާތީ ސަލާމަތްވެފައި މަތީގެ ހުރިހާ ދަތްތައް ހަލާކުވާނެ. އެއީ މިލްކްދީފައި އެއްކޮށް ސާފުވޭތޯ ބެލުމަކީ ވަރަށް މުހިއްމު ކަމެއް. ހަ މަސްވީމަ ފެން ފޮދެއްދީފައި ބޭއްވުން ރަނގަޅީ." އިފާ ވިދާޅުވި އެވެ.

ރާއްޖޭގައި ތަފާތު އެކި ސިއްހީ މައްސަލަތަކާ މެދު ދޭތެރެއަކުން ހޭލުންތެރިކުރިޔަސް ދަތުގެ މައްސަލަތަކާ މެދު އެކަށީގެންވާ ގޮތެއްގައި ހޭލުންތެރި ކުރެވިފައި ނެތުމުގެ ސަބަބުން ދަތަކީ ކިހާ މުހިއްމު އެއްޗެއްކަމެއް ގިނަ މީހުންނަކަށް ނޭނގެ އެވެ. އެކަމަކު މިހާރު ފަސް ކުދިން ބަލަމުން، އިފާ އެ ނިކުންނެވީ ދަތުގެ ރިހުން ކުޑަކޮށް މީހުން ހޭލުންތެރިކުރުމަށެވެ. އޭނާގެ އަޒުމަކީ މިދާއިރާއިން ދެވެން އޮތް އެންމެ ކުރިއަކަށް ވަޑައިގެން ދަތުގެ މައްސަލަތަކަށް ދިވެހިން ހޭލައްވާލުމެވެ.